Рентген зубов

Рентген зубов

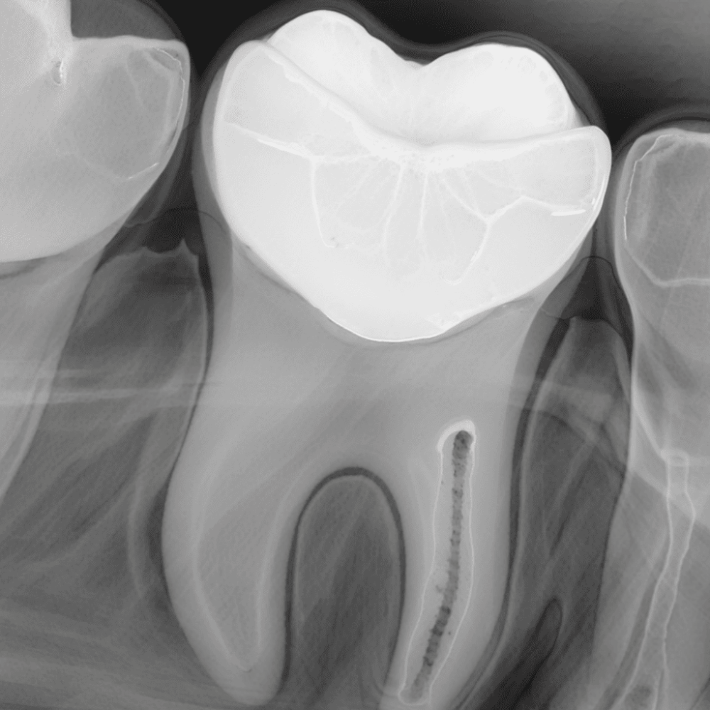
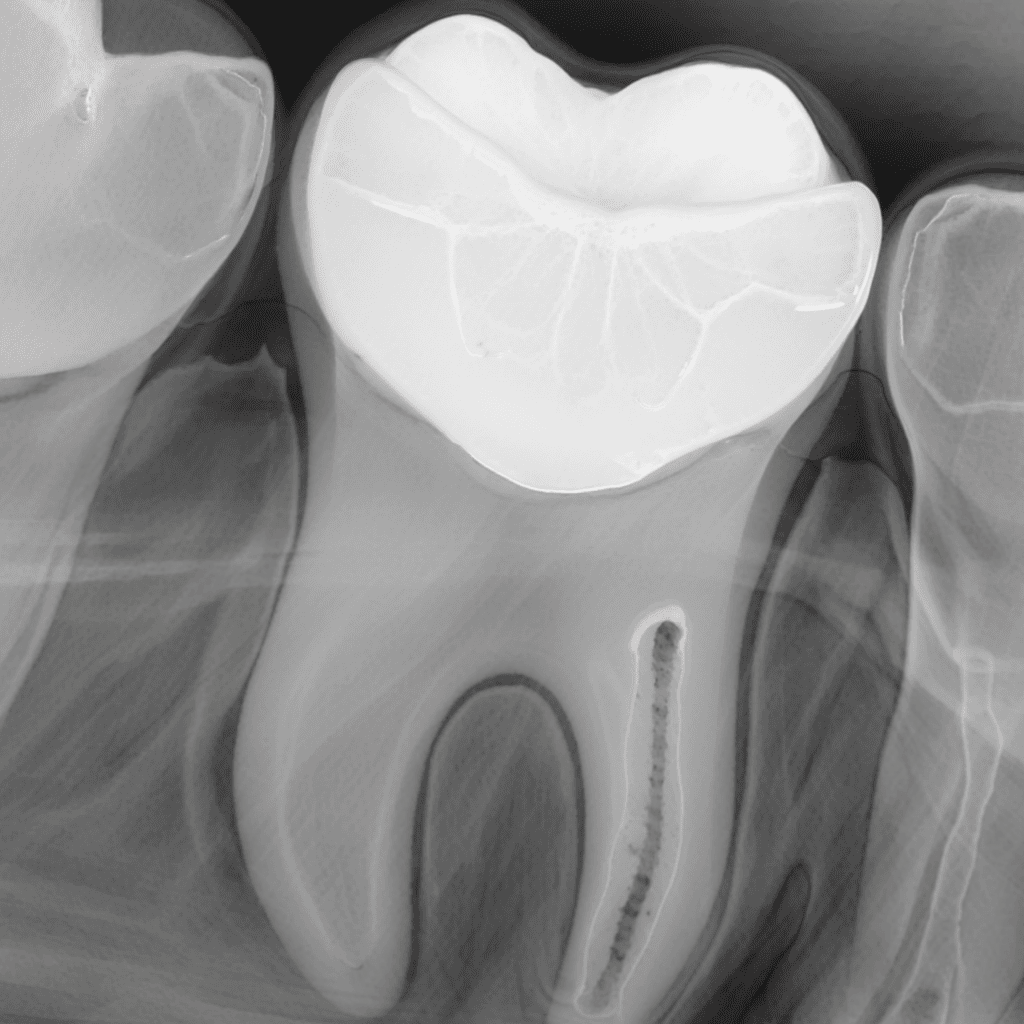
Прицельный снимок зуба или прицельная внутриротовая контактная рентгенография — это самый простой и быстрый способ узнать, что происходит внутри. С его помощью врач видит не только сам зуб, но и его корни, а также ткани вокруг.Такой снимок делают, чтобы найти скрытый кариес, заметить воспаление или кисту и проверить, насколько хорошо запломбированы каналы. Мы используем современный цифровой аппарат (визиограф), поэтому облучение здесь минимальное — это абсолютно безопасно. Звоните нам для консультации! (OOO «АС ДЕНТАЛ КЛИНИК». Лицензия № ЛО41-01197-26/01401624 выдана Министерством здравоохранения Ставропольского края 26.09.2024г. ИМЕЮТСЯ ПРОТИВОПОКАЗАНИЯ. НЕОБХОДИМА КОНСУЛЬТАЦИЯ СПЕЦИАЛИСТА.)

Стоимость: 300 рублей





Instagram










  Задать вопрос
Как вам удобнее с нами связаться? WhatsappTelegramE-MailКарта проезда Позвонить
Отмена

АС-Дентал Клиник

Как вам удобнее с нами связаться?

Whatsapp Telegram E-Mail Карта проезда Звонок

Instagram

Закрыть